概述
CAR-T细胞治疗(Chimeric Antigen Receptor T-Cell Therapy,嵌合抗原受体T细胞治疗)是一项国际前沿的细胞免疫疗法。该技术通过基因工程改造患者自身或供者的淋巴细胞,使其能够精准识别并定向清除肿瘤细胞。
这一疗法的出现,不仅为血液系统恶性肿瘤患者带来了新的治愈希望,也正在自身免疫性疾病与实体瘤的治疗探索中展现出广阔潜力,为更多缺乏有效治疗手段的患者打开了新的生命通道。
CAR-T 细胞疗法常见应用
为什么选择高博?
高博在中国率先系统化开展CAR-T细胞治疗,持续推进该技术的规范化建设与临床创新。目前已累计实施数千例CAR-T治疗,在长期的临床实践中积累了深厚经验,并在多种疾病类型中取得了经临床验证的疗效与良好的安全性。
全面的治疗靶点布局
高博已建立成熟的CAR-T技术体系,靶点覆盖范围广泛,实现了从血液肿瘤到实体瘤的多领域精准治疗探索。
- 血液肿瘤的治疗靶点:
- 单靶点CAR-T:CD19、CD20、CD22、CD7、CD5、BCMA、GPRC5D、CLL1等
- 双靶点CAR-T:CD19&CD22-CAR-T、CD19&CD20-CAR-T、CD22&CD20-CAR-T、BCMA&GPRC5D-CART、CD19&BCMA-CART
- 实体瘤的治疗靶点:Claudin18.2 CAR-T等
创新的联合治疗策略
高博在长期的临床探索中,积极推动CAR-T与多种传统及新型治疗方式的整合应用,包括化疗、靶向药物治疗、造血干细胞移植等。多手段联合策略的实施显著提高了复发/难治性患者的总体缓解率和长期生存率。
全程化的治疗和照护管理
高博建立了覆盖CAR-T治疗评估、实施、监测与照护的一体化管理体系,从患者入组、细胞制备到治疗执行与康复随访各阶段,均提供系统化、个体化支持。通过标准化流程与多学科协作,确保治疗的安全性、有效性与长期随访质量。
多学科协作
高博实行以患者为中心的多学科协作(MDT)模式,由血液科与整合诊断、感染影像学科、呼吸病学科等学科协作,在诊断、治疗与并发症管理方面实现高效协同,形成了以精准、系统、全面为核心特色的交叉学科诊疗体系。
我们的卓越成果
CAR-T 细胞治疗复发 / 难治白血病的卓越疗效
- CD19 CAR-T细胞疗法治疗复发/难治性急性B淋巴细胞白血病(R/R B-ALL):完全缓解(CR)率超过90%
- 序贯CD19和CD22 CAR-T细胞治疗移植后复发的急性B淋巴细胞白血病(B-ALL):12个月和18个月的总体生存率(OS)分别为88.5%和67.5%
- CD22 CAR-T治疗既往经CD19 CAR-T治疗后失败的患者:完全缓解率达71%,微小残留病(MRD)转阴率接近100%,显著优于同期国际研究结果。
- 序贯CD19和CD22 CAR-T细胞疗法治疗儿童R/R B-ALL(Ⅱ期研究):18个月无事件生存率(EFS)79%,无病生存率(DFS)80%;总体生存率(OS)96%。
- CD19 CAR-T治疗CD19抗原表达的复发/难治性非B细胞急性白血病(AML,T-ALL),完全缓解率达到62.5%。
- 供者来源CD7 CAR-T治疗难治复发急性T淋巴细胞白血病(R/R T-ALL):完全缓解(CR)率90%。
- 供者来源CD7 CAR-T治疗T-ALL长期随访:中位随访时间27.0个月,客观缓解率(ORR)为95%,完全缓解率(CR)为85%。
- 供者来源CD5 CAR-T治疗R/R T-ALL:所有患者(100%)在CAR-T输注第30天均达到了完全缓解(CR)或完全缓解伴血液学不完全恢复(CRi)。
- 在R/R T-ALL患者中开展无T细胞分选制备自体CD7 CAR-T治疗:在CAR-T输注的第30天,96%的患者见效,且85%的患者达到完全缓解(CR)或完全缓解伴血液学不完全恢复(CRi)。
CAR-T 细胞治疗复发 / 难治淋巴瘤和多发性骨髓瘤的卓越疗效
- 高博医疗团队在全球首次报道采用CD19/CD20/CD22三靶点CAR-T治疗儿童难治复发伯基特淋巴瘤(R/R BL):实现了高达100%的应答率和86.9%的18个月完全缓解(CR)率。
- 自体造血干细胞移植联合CAR-T细胞疗法治疗复发/难治性中枢神经系统B细胞淋巴瘤:客观缓解率(ORR)为74%,一年的ORR为85.1%,无进展生存率(PFS)为44.5%。此外,免疫效应细胞相关神经毒性综合症(ICANS)可控。
- 供者CAR-T作为预处理方案的异基因造血干细胞移植治疗难治/复发性B细胞淋巴瘤:中位随访期为249天(范围179-263天)时,完全缓解率(CR)达75%。6个月的总生存率(OS)与无进展生存率(PFS)分别为75%和62.5%。
疗效数据来源于公开发表研究成果及本中心长期随访结果,仅供医学信息参考。具体疗效因个体差异、疾病类型及综合治疗策略而异,请遵循专业医生的评估与建议,制定适合您的个体化诊疗方案
相关阅读
Nature Medicine发表由高博医疗集团北京高博医院、实验血液学国家重点实验室、国家血液系统疾病临床医学研究中心、中国医学科学院血液病医院(中国医学科学院血液学研究所)等机构共同完成的《Allogeneic CD5-specific CAR-T therapy for relapsed/refractory T-ALL: a phase 1 trial》(异体CD5 CAR-T治疗复发/难治性T淋巴细胞白血病:I期临床试验),该研究由潘静、冯晓明为共同通讯作者。
l 完整报道供者CD5 CAR-T治疗T-ALL的Ⅰ期临床试验数据
因为缺乏有效的挽救疗法,复发/难治性急性T淋巴细胞(R/R T-ALL)患者预后不佳。近年来,CD7 CAR-T的嵌合抗原受体 (CAR)-T细胞疗法在 r/r T-ALL 患者中显示出疗效,但CD7丢失后的复发很常见。
该项研究评估了CD5 CAR-T治疗R/R T-ALL的安全性、疗效和药代动力学。研究纳入了19例R/R T-ALL患者,其中大多数患者先前接受过 CD7 CAR-T 细胞治疗疗。CAR-T 细胞来自造血干细胞移植供者,主要研究终点是21天的剂量限制性毒性和30天内的不良事件,次要终点是30天后的应答、药代动力学和严重不良事件。
该研究发现:
- 安全性方面:该疗法显示出良好的安全性,没有观察到剂量限制性毒性,并且不良事件主要为可控的血液学毒性。
- 疗效方面:该疗法显示出良好的疗效,所有患者在第30天均达到完全缓解或伴随不完全血细胞计数恢复的完全缓解。
- 药代动力学方面:CD5 CAR-T细胞在体内持续存在并清除 CD5+T细胞,但CD5¯ T细胞有所增加,但仍低于正常水平。
- 感染风险方面:严重感染主要发生在输注后30天后未接受后续造血干细移植的患者中,与之前CD7 CAR-T治疗淋巴细胞减少、CD5 CAR-T细胞输注后的CD7 CAR细胞共存或靶向T/B/NK 细胞消耗有关。
此外,该研究还探讨了:
- CD7 CAR-T细胞与CD5 CAR-T细胞共存的影响。
- CAR-T细胞的扩增和生物标志物。
- T 细胞和B细胞减少的动力学。
- 患者体内CD5基因编辑的T细胞的特征。
该研究为提供了CD5 CAR-T细胞治疗的思路。研究表明 CD5 CAR-T细胞治疗可能是治疗R/R T-ALL 患者的一种有前途的方案,并为未来优化其治疗策略提供了方向,但需要进一步的研究,特别是如何降低严重感染的风险。
l 直面临床难点,持续深耕R/R T-ALL治疗靶点更优选择
鉴于CAR-T细胞疗法在B系肿瘤中取得的突破性进展,越来越多的研究旨在开发新的CAR-T疗法治疗T-ALL,团队也将目光聚焦在CAR-T细胞治疗T系肿瘤上,探索T系肿瘤 CAR-T的更优治疗策略。
• 供者CD7 CAR-T治疗R/R T-ALL
2021年7月,北京高博博仁医院潘静主任团队、中国医学科学院血液病医院(中国医学科学院血液学研究所)冯晓明教授团队、同济大学医学院张鸿声教授团队等机构共同完成的“Donor-Derived CD7 Chimeric Antigen Receptor T Cells for T-Cell Acute Lymphoblastic Leukemia: First-in-Human, Phase I Trial”研究在线发表于Journal of Clinical Oncology(IF=45), 该项研究不仅证实了供体来源CD7 CAR-T细胞疗法在R/R T-ALL患者中的早期疗效,更显示出研究在该领域的突破与开创价值。
2023年,有关该项研究长期安全性和疗效持久性的2年随访结果,也已出炉:“Long-term follow-up of donor-derived CD7 CAR T-cell therapy in patients with T-cell acute lymphoblastic leukemia”,并于2023年4月发表于Journal of Hematology & Oncology(IF=23.168), 治疗后24个月的无进展生存(PFS)率和总生存(OS)率分别为36.8%(95% CI,13.8%~59.8%)和42.3%(95% CI,18.8%~65.8%),中位PFS和OS分别为11.0(95% CI,6.7~12.5)个月和18.3(95% CI,12.5~20.8)个月。
• 自体CD7 CAR-T治疗R/R T-ALL
以CD7为靶点的供者来源CAR-T细胞治疗T淋巴母细胞白血病/淋巴瘤(T-ALL/LBL)的临床研究,证实了CD7 CAR-T在r/r T-ALL/LBL中具有很高的缓解率。然而,团队也观察到随之而来的移植物抗宿主病(GVHD)、感染等问题成为亟待解决的难题。基于此,团队开始逐渐优化CAR-T的治疗策略——为不同的T系肿瘤患者选择更适合他们的CAR-T。
对于很多既往未接受过很多线治疗的T-ALL患者而言,他们体内仍能够采集到足够量的正常、健康的淋巴细胞,团队开始着手去为这一类患者进行自体 CD7 CAR-T的治疗。最新研究“Autologous CD7 CAR T cells generated without T-cell pre-selection in pediatric patients with relapsed/refractory T-ALL: a phase I trial”发表于Molecular Therapy(IF:12.4),初步探索和揭示无T细胞分选的自体CD7 CAR-T细胞的制备、以及其治疗r/r T-ALL的疗效与安全性。研究结果显示疗效和安全性达预期。
• 供者CD5 CAR-T治疗R/R T-ALL
随着CD7 CAR-T治疗R/R T-ALL/和T-LBL相关的临床试验陆续推进,这些患者复发后应如何应对是值得深思的。根据既往的研究提示,CD7 CAR-T治疗后的患者往往以CD7阴性的方式复发,后续的挽救性治疗方式是大家持续关注的问题,是临床必须要去解决的难点。团队探索了T系肿瘤CAR-T治疗的第二个靶点CD5 CAR-T,并对于疗效与安全性进行了初步验证,为CD7 CAR-T治疗失败或者CD7不表达的患者提供了一种补充疗法。这项研究获得学术界的认可并发表于Nature Medicine,此前在2023年第28届欧洲血液学会(EHA)年会上,潘静主任团队这项研究的结果入选了大会口头报告。
l 多团队的通力协作,为临床研究的顺利进行提供了保障
不同于B系CAR-T治疗,T系CAR-T的研发应用面临着更大的挑战,应用给患者带来了“人为制造的免疫缺陷”,那这样的治疗是否能最终成药?是否能给患者带来获益?是团队一直思考的问题,团队也坚信这一领域的研究能够为患者带来重大价值。为此,潘静主任及合作团队开展了一系列的研究,包括靶点的探索、复发及相关机制的研究等,寻求平衡安全与疗效的T系CAR-T血液肿瘤治疗的更优解。
该项研究由北京高博医院,北京高博博仁医院,实验血液学国家重点实验室、国家血液系统疾病临床医学研究中心、中国医学科学院血液病医院(中国医学科学院血液学研究所),细胞生态海河实验室,驯鹿医疗,德克萨斯大学安德森癌证中心、福建协和医院等机构的研究者共同完成。正是团队以患者为中心,解决患者治疗需求的初心与坚守,以及患者的信任,成就了持续突破与创新。
未来,团队也将继续与各个领域的专家学者深度合作,从而更好地利用CAR-T治疗这一创新手段去帮助更多的T系肿瘤患者。
随着CAR-T细胞治疗在复发/难治血液肿瘤中的广泛应用,越来越多患者获得深度缓解,并成功进入造血干细胞移植阶段。与此同时,多线免疫治疗的叠加应用,也使移植后并发症的表现更加复杂。如何在这一背景下,及早识别非典型并发症、避免延误干预,成为当前临床实践中亟需关注的重要课题。
近日,高博医疗集团吴彤主任与首都医科大学附属北京朝阳医院陶勇教授为共同通讯作者,高博医疗集团李智慧主任为第一作者的合作团队,在Frontiers in Immunology发表病例研究,在全球首次系统报道了一例CAR-T桥接异基因造血干细胞移植后发生Purtscher样视网膜病变(PLR)的罕见病例,并深入探讨其与移植相关血栓性微血管病(TA-TMA)之间的潜在机制关联。
李智慧主任介绍,在临床实践中,一些并发症并不以典型血液学异常起病,而可能首先表现为局部、非特异性的症状,增加了早期识别的难度。基于这一背景,团队对本例在CAR-T联合移植后出现的罕见眼部病变进行了系统梳理与分析,希望提示临床在复杂免疫治疗背景下,更加关注非典型表现背后的系统性意义。

病例概述
从多线免疫治疗到移植:复杂治疗路径的回顾
本研究报道一例复发急性B淋巴细胞白血病(B-ALL)患儿。患儿初诊后接受规范治疗获得缓解,约2.5年后出现首次血液学复发。为控制病情,患儿接受CD19 CAR-T细胞治疗并获得缓解,随后为进一步巩固疾病控制并降低抗原逃逸风险,序贯接受CD22 CAR-T细胞治疗。
2024年,患儿病程再次进展并出现复发(伴髓外浸润)。在该阶段,治疗策略转向抗体类免疫治疗以争取再缓解:患儿接受抗CD22抗体药物偶联物(奥加伊妥珠单抗),并联合免疫调节治疗(如贝利尤单抗)等,最终在获得移植窗口后行异基因造血干细胞移植(allo-HSCT)。
突发视力变化的识别与处理:PLR的影像学特征与治疗反应
移植后约160天,患儿出现突发无痛性视力下降伴视物变形,无外伤史。经眼底照相(图1A&B)、光学相干断层扫描(OCT,图2A&B)及荧光素眼底血管造影等系统眼科评估后,确诊为Purtscher样视网膜病变(PLR)。
患儿首先接受雷珠单抗左眼玻璃体腔内注射治疗(0.5 mg),每月一次。首次注射后第6天,左眼视力较前明显改善,同时视盘水肿及视网膜出血明显减轻(图1D、图2D)。
为进一步评估病变机制,研究团队对房水进行流式微球阵列(CBA)检测,发现碱性成纤维细胞生长因子(bFGF)与血管细胞黏附分子-1(VCAM-1)水平显著升高,提示血-视网膜屏障受损。
在此期间,患儿右眼视力迅速下降,伴随视网膜出血、棉絮斑增多及视神经盘水肿加重(图1C、图2F)。随后,研究团队对右眼启动雷珠单抗玻璃体腔注射(0.5 mg)。
右眼首次注射后第8天,左眼视力继续改善;虽然右眼视力未进一步提升,但双眼眼底检查均显示视网膜出血、棉絮斑及视神经盘水肿明显减轻(图1E、F;图2E、F),提示抗VEGF治疗在控制眼底微血管病变方面具有积极作用。

图1:患儿双眼眼底照相
(A,B)双眼后极部可见多发视网膜出血、棉絮斑及黄白色Purtscher斑(Purtscher flecken),其中左眼受累更为广泛
(C)与前期观察相比,右眼视网膜出血、棉絮斑及Purtscher斑明显增多。
(D)左眼行雷珠单抗玻璃体腔内注射后第6天,视网膜出血较前部分吸收,棉絮斑及Purtscher变化不明显。
(E)右眼行雷珠单抗玻璃体腔内注射后第8天,视网膜出血、棉絮斑及Purtscher斑较前明显减轻。
(F)左眼行雷珠单抗玻璃体腔内注射后第15天,可见视网膜出血进一步吸收,棉絮斑及Purtscher斑亦较前减少。

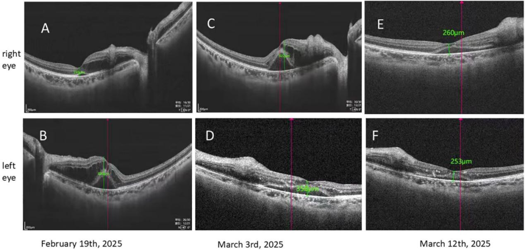
图2:患儿双眼OCT图像
(A)右眼(2月19日):视网膜内层水肿及增厚,可见囊样黄斑水肿,厚度约249μm。
(B)左眼(2月19日):视网膜内层水肿及明显增厚,囊样黄斑水肿厚度约885μm,并可见多个局灶性高反射灶。
(C)右眼(3月3日):视网膜内层水肿及增厚进一步加重,囊样黄斑水肿厚度约822μm,较前明显增加。
(D)左眼(3月3日):视网膜内层水肿及增厚减轻,囊样黄斑水肿厚度约358μm,较前明显下降。
(E)右眼(3月12日):视网膜内层水肿及增厚明显改善,囊样黄斑水肿厚度约253μm,较既往检查显著减轻。
(F)左眼(3月12日):囊样黄斑水肿厚度约260μm,与前次影像相比变化不大。
从眼底病变到系统评估:
TA-TMA的识别与管理
在眼部病变评估与治疗过程中,研究团队同步对患儿进行系统性检查。移植后第179天,淋巴细胞亚群分析显示CD4/CD8比值为0.22,B细胞比例5.05%,NK细胞比例21.68%,提示免疫重建受限。
至移植后第194天,患儿出现重度血小板减少(最低40×109/L)、大量蛋白尿(24h尿蛋白2400mg)、肾功能损害(血肌酐133.9μmol/L)及补体激活(C5b-9 298ng/mL),并伴多腔隙浆膜腔积液。
经系统评估,排除了移植物抗宿主病(GVHD)及钙调神经磷酸酶抑制剂毒性等因素,结合外周血破碎红细胞增多(0.8%),最终明确诊断为移植相关血栓性微血管病(TA-TMA)。
针对TA-TMA,患儿接受去纤苷和依库珠单抗治疗,并配合利尿、降压及毛细血管渗漏对症支持治疗后,整体病情趋于稳定。
总结及展望
李智慧主任指出,本研究首次系统报道了复发B-ALL患儿在CAR-T桥接异基因造血干细胞移植后发生Purtscher样视网膜病变的病例;同时,在本病例中眼底表现的出现早于部分系统性改变,为理解移植后微血管相关并发症的发生过程提供了新的观察视角。在免疫治疗与移植不断融合的背景下,临床需要更加重视突发视力变化等非典型症状,通过影像学评估与系统性检查相结合,及早识别潜在的微血管病变或补体相关异常并启动相应管理。通过多学科协作与精细化评估,有助于进一步优化移植后并发症的识别与处理路径,提升整体治疗安全性与预后。
复发/难治性中枢神经系统淋巴瘤(R/R CNSL)患者的生存预后较差,且受多种因素的影响而存在着显著差异。其中TP53突变是影响治疗结局的关键因素之一,也是淋巴瘤科医生长时间以来面临的的难点问题。近年来,嵌合抗原受体T细胞(CAR-T)用于治疗R/R CNSL的研究已显示出良好疗效和安全性,但关于携带TP53突变是否影响CAR-T细胞治疗疗效的进展很少,值得进一步研究。
近期,高博医疗集团淋巴瘤骨髓瘤科克晓燕、胡凯教授团队在Frontiers in Medicine发表了题为“CAR-T cell therapy in TP53-mutated CNS lymphoma: overcoming a high-risk genetic barrier”的研究论文,第一作者为李丹阳。该研究为CAR-T细胞治疗TP53突变的R/R CNSL领域提供了新的思路。
胡凯教授介绍:复发/难治性中枢神经系统淋巴瘤(R/R CNSL)的治疗相对棘手,如果对化疗敏感,有机会达到缓解,行自体造血干细胞移植多可以获益;但真实世界中许多患者复发后出现化疗耐药,其中很多是伴随TP53基因突变的患者,治疗棘手、生存差。为此,我们团队总结分析了61例R/R CNSL 患者,其中43例接受CAR-T细胞治疗。比较了携带TP53突变(TP53+)与野生型TP53(TP53−)患者的总生存期(OS)和无进展生存期(PFS),同时分析了与患者预后相关的因素。
研究亮点
1CAR-T治疗TP53+R/R CNSL与TP53-患者疗效相当
研究显示:TP53+组的总缓解率(ORR)和完全缓解率(CRR)均为64.5%;TP53-组中,ORR及CRR率分别为73.3%及69.2%;两组有效率相近。生存方面,TP53+组中位PFS为12.77个月(95%CI:6.33–∞),较TP53-组(中位PFS为22.4个月(95%CI:6.13–∞))缩短,但差异无统计学意义。研究表明,CAR-T疗法对携带TP53突变的 R/R CNSL患者同样有效。

2非GCB的TP53+ R/R CNSL患者,CAR-T细胞可能更具疗效,生存期明显延长
研究的亚组分析进一步显示,起源细胞(COO)分类是影响R/R CNSL 患者长期生存的关键因素:在TP53+组中,非生发中心B细胞样(GCB)亚型患者的OS较GCB亚型更长(P=0.003)。
本中心的初步研究显示:CAR-T细胞疗法是治疗携带TP53突变的R/R CNSL患者的有效治疗手段,对于非GCB的TP53+ R/R CNSL患者可能更具疗效。这对临床医生选择治疗方式提供了有价值的参考数据。
总结及展望
克晓燕教授指出,高博医疗集团淋巴瘤骨髓瘤科近年来积累了丰富的CAR-T治疗经验,随着真实世界中CAR-T治疗的病例逐步增多,面临的临床问题更加复杂。经验提示,伴有TP53突变的患者往往对化疗高度耐药,CAR-T细胞治疗可以使这部分患者获益。当然,选择合适的CAR-T治疗时机,探索个性化、精细化、全程化的管理,仍然是血液肿瘤领域未来主要的临床任务。未来可结合临床、病理、分子、影像等整合诊断技术来明确对常规治疗无效但可从CAR-T治疗中获益的精准R/R CNSL患者,并且可以通过监测ctDNA等方式提早发现复发倾向,抢先治疗,从而延长患者生存。
Marina,61 岁,来自俄罗斯。被确诊为急性 T 淋巴细胞白血病后,她开始了一段漫长而复杂的治疗历程。
移植之后,疾病再次带来挑战
2025 年 4 月,Marina 在当地接受了一次异基因造血干细胞移植。对她和家人而言,这是一次重要的治疗尝试,也寄托着对长期缓解的期待。然而,在移植后三个月的复查中,骨髓流式细胞学检测提示存在微小残留病灶(MRD),肿瘤细胞残留约 0.014%。随后,尽管在当地尝试了免疫相关治疗,但疗效有限,残留肿瘤细胞仍呈逐渐上升趋势。同时,她还出现了轻度皮肤排异反应。
对于一位年龄较大、移植后出现免疫学复发的患者来说,这意味着治疗选择明显受限,整体风险和治疗难度都显著增加。
来到中国,重新评估治疗方向
在多方了解并慎重考虑后,Marina 来到中国接受进一步评估。高博医疗集团赵德峰主任团队为她重新进行了系统的白血病分型和疾病评估,结果显示其肿瘤细胞主要表达 CD7 抗原。
在与 Marina 充分沟通后,医疗团队首先采用了免疫靶向相关治疗,以稳定病情并为后续治疗创造条件。随后,结合她的疾病特点及既往治疗史,团队为她制定了以 CD7 为靶点的 CAR-T 细胞治疗方案。
高博团队在 T 细胞肿瘤 CAR-T 细胞治疗方面已积累了丰富的临床经验,能够针对高龄、移植后复发等复杂情况进行个体化的风险评估与治疗管理。
治疗中的考验与专业守护
CAR-T 细胞回输后,Marina 出现了较高的发热,随后进入 CAR-T 细胞在体内扩增阶段。她的主要不良反应表现为细胞因子释放综合征(CRS)相关的发热,并一度出现短暂的血氧下降。考虑到她既往的心肺功能状况,医疗团队对其进行了密切监测和及时干预。在规范、专业的管理下,Marina 顺利度过了 CRS 反应期,未出现严重并发症。
在 CAR-T 细胞回输后的第 13 天,团队为 Marina 进行了骨髓穿刺复查。结果显示:骨髓流式细胞学检测转阴,提示疾病达到了较深度的缓解状态。
与此同时,团队还为她进行了覆盖 300 余种基因的二代测序(NGS)检测,发现了 8 种此前未检出的基因突变。这些结果为后续治疗提供了重要依据,也为未来联合靶向药物治疗预留了更多可能性。
面向未来的治疗规划
在当前治疗阶段取得良好效果的基础上,Marina 计划返回当地,准备进一步的造血干细胞移植治疗。针对她的疾病特点,高博团队也给出了明确建议:在移植后可尽早联合靶向药物进行维持治疗,以降低复发风险,延长无病生存时间,并改善长期预后。
Marina 的治疗之路并不平坦。她经历了移植、复发,以及再次面对高风险治疗选择的艰难抉择。但在科学评估、规范治疗和充分沟通的基础上,她成功迈过了一个关键阶段。对她而言,这是一次重新看到希望的时刻;对医疗团队而言,这是在复杂病例中持续探索与精细管理的又一次实践。
她的故事仍在继续,而每一步,都建立在谨慎、专业与以患者长期获益为核心目标的基础之上。
来自俄罗斯的淋巴瘤患者Maria第二次来到高博医疗集团北京高博博仁医院接受治疗。对她而言,这不仅是跨越国界的求医之路,更是一段重新夺回健康与高质量生活的关键旅程。她的主诊医生、血液肿瘤专家张亚晶主任回顾了整个治疗过程——从第一次远程会诊,到危急病情的逆转,再到如今即将出院的稳定状态,每一步都至关重要。
第一次来华:病情危重,随时可能恶化
Maria 第一次抵达北京是在今年 6 月。那时,她的病情已十分严峻。张亚晶主任仍清晰记得她在海外远程会诊时的状态:“她当时非常危险,高热甚至达到了四十多度,这种发热强度在临床上极为罕见。”更棘手的是,她的肿瘤非常“顽固”——一次治疗才刚刚起效,血象尚未恢复,肿瘤细胞便迅速反弹,而且出现了中枢神经系统受累和肝脏等多器官受损。在当时的医学判断里,她的整体情况正处于高风险的危险边缘。
Maria本人非常年轻、美丽,对生活质量也有着明确要求——“不仅要活下来,还希望能活得好。”在充分评估后,团队为她制定了多靶点CAR-T为核心的综合治疗方案。第一次治疗采用CD19+CD22双靶点 CAR-T。治疗结束后,她的病情明显改善,之前所有的高度侵袭性表现,包括中枢及肝脏受累,都逐步得到控制。
第二次来华:为实现更长期缓解而战
尽管前期治疗取得了良好的效果,但Maria的疾病本身具有很高的复发风险。在张亚晶主任团队的原计划中,建议Maria在缓解后进一步接受造血干细胞移植。然而,Maria 回国后,当地权威医生评估其身体状况可能无法承受移植强度。在这种情况下,张亚晶主任团队重新规划了治疗路径,决定实施序贯 CAR-T巩固治疗,同时更换了靶点——根据其肿瘤抗原表达情况选择了CD20 + CD79b 双靶点方案。
张亚晶主任解释说:“选择序贯治疗,并不是简单重复,而是基于她的肿瘤生物学特征、第一次治疗反应等多维度综合判断,追求更深层次的缓解。”如今,第二次治疗已顺利接近尾声,Maria将在本周出院,她的病情已保持稳定,先前那些令人担忧的侵袭性表现未再出现,整体治疗反应令人欣慰。
全生命周期管理:不仅治病,更要让患者安心走得更远
Maria对生活质量有极高要求,对医学理解力强、配合度高,这让医疗团队能够与她建立更顺畅的沟通和合作模式。为确保长期管理效果,张亚晶主任团队为她制定了全生命周期的随访计划,包括前两年进行更密集、结构化的随访,明确每月的检查检验项目,并在关键检查节点后提供线上一对一深度沟通,指导下一阶段治疗,按需及时调整方案。Maria 对此感到非常安心,也对治疗效果和医疗服务体验给予了高度评价。
从危急状态到第二次跨国求医,从精准治疗策略的制定到即将顺利出院,Maria的经历不仅体现了专业的医疗决策,更体现了“以患者为中心”的医疗理念——为生命负责,为未来负责。
2025年6月1日,由沈琳教授团队设计主导的全球首个CLDN18.2 CAR-T胃癌随机对照研究,“Claudin-18 isoform 2-specific CAR T-cell therapy (satri-cel) versus treatment of physician’s choice for previously treated advanced gastric or gastro-oesophageal junction cancer (CT041-ST-01): a randomised, open-label, phase 2 trial”的阳性结果正式发布于国际权威学术期刊《柳叶刀》(The Lancet)(IF=168.9),并由第一作者齐长松教授同步在2025年美国临床肿瘤学会(ASCO)进行大会口头报告,引起广泛关注。

6月3日,该研究结果也登上了Nature官网头条。

CT041-ST-01研究(NCT04581473)是全球首个针对实体瘤的CAR-T疗法随机对照临床试验,旨在评估Claudin18.2特异性CAR-T细胞治疗——Satricabtagene autoleucel (satri-cel)/舒瑞基奥仑赛注射液,相较于研究者选择治疗(TPC)在既往治疗失败的晚期胃癌或胃食管结合部癌(G/GEJC)患者中的疗效与安全性。
研究背景
CLDN18.2在多种消化道肿瘤中存在过表达,尤其对于G/GEJC,已成为该领域极具潜力的治疗靶点。舒瑞基奥仑赛(satri-cel)作为一种自体CLDN18.2特异性CAR-T细胞疗法,在既往治疗失败的晚期G/GEJC患者中开展的I期临床试验展现出令人鼓舞的疗效,沈琳教授团队已在2024年6月于《自然-医学》(Nature Medicine)发表了突破性结果(Qi, C. et al.Nat. Med. 2024. doi: 10.1038/s41591-024-03037-z),该研究为CAR-T疗法在实体瘤领域的深入探索提供了关键科学依据。基于上述研究结果,由沈琳教授团队设计主导了舒瑞基奥仑赛(satri-cel)在CLDN18.2表达阳性、至少二线治疗失败的晚期G/GEJC患者的确证性II期研究。
研究设计
本次II期研究是一项在中国开展的开放标签、多中心、随机对照试验,旨在对比舒瑞基奥仑赛与现有标准治疗在CLDN18.2表达阳性(定义为≥40%肿瘤细胞膜染色强度≥2+)、至少二线治疗失败晚期G/GEJC患者中的有效性和安全性。筛选合格的受试者以2:1的比例随机分配至satri-cel组(接受satri-cel输注250×106/次,最多3次输注),或研究者选择治疗(TPC)组(包括紫杉醇、多西他赛、伊立替康、纳武利尤单抗或阿帕替尼)。TPC组受试者如出现疾病进展或药物不耐受,根据研究者判断可接受后续的CT041治疗。主要终点为独立评审委员会(IRC)评价的无进展生存期(PFS),关键次要终点为总生存期(OS)。
研究结果
截至2024年10月18日,本研究共156例受试者随机入组,即意向性治疗(ITT)人群,包括satri-cel组104例、TPC组52例。两组分别有88例(84.6%)和48例(92.3%)受试者接受了试验药物,即调整的意向性治疗(mITT)人群。其中TPC组共20例受试者后续接受了CT041输注。所有受试者既往均接受过至少二线治疗,satri-cel组和TPC组分别有26.9% vs 19.2%受试者接受过至少三线治疗;腹膜转移比例69.2% vs 59.6%。
在ITT人群中:基于IRC评价,satri-cel较对照组可显著延长PFS(mPFS 3.25个月 vs 1.77个月;HR 0.37,95% CI: 0.24-0.56;p<0.0001),达到本试验的主要终点。同时OS显示出明显的获益趋势(mOS 7.92个月 vs 5.49个月;HR 0.69,95%CI: 0.46-1.05;单侧p=0.0416)。即便在satri-cel组15.4%(16例)未能接受细胞输注、TPC组近40%(20例)后续接受satri-cel输注的情况下,CT041组患者死亡风险下降仍超过30%。

主要研究终点ITT人群PFS达阳性结果
在mITT即实际用药人群中:satri-cel组和TPC组基于IRC评价的mPFS为4.37个月 vs 1.84个月(HR 0.30,95%CI: 0.19-0.47);mOS为8.61个月 vs 5.49个月(HR 0.60,95%CI: 0.38-0.94)。因此在实际接受了细胞输注的患者中,CT041的治疗获益更加明显。
值得注意的是,TPC组20例接受satri-cel输注受试者的mOS达到9.20个月。satri-cel组和TPC组中所有接受satri-cel输注受试者(n=108)的mOS为9.17个月。
安全性方面,satri-cel组的整体耐受性良好,仅4例发生3级细胞因子释放综合症(CRS),无4-5级CRS。未发生免疫效应细胞相关神经毒性综合征(ICANS)事件。
研究结论
该研究是全球范围内实体瘤CAR-T领域首个开展的确证性随机对照试验,具有里程碑式意义。研究结果显示,在CLDN18.2表达阳性、至少二线治疗失败的G/GEJC患者中,舒瑞基奥仑赛(satri-cel)对比标准治疗可显著改善PFS,并展现出有临床意义的OS获益,同时具有可控的安全性特征。上述结果支持舒瑞基奥仑赛(satri-cel)成为晚期CLDN18.2阳性G/GEJC患者新的三线标准治疗方案。
齐长松教授在 ASCO 2025 大会口头报告现场接受媒体采访时也表示,“这些结果表明,CLDN18.2 CAR-T 疗法可能带来晚期胃癌治疗的范式转变,为实体瘤治疗领域带来几乎前所未有的细胞治疗新选择。”
VARELII(化名)是一位来自俄罗斯的急性B淋巴细胞白血病患者,二次移植后复发的消息,让他一度陷入了绝望的深渊,俄罗斯当地医院认为他几乎没有治愈的可能。

但VARELII没有放弃,通过多方了解和调研,他联系到了高博医疗集团北京高博博仁医院的赵德峰主任团队,在前期充分的沟通和全面的评估后,赵德峰主任团队接收了VARELII。“我以为我会被拒绝收治,但赵主任团队接受了我,并给予了我积极治疗的动力。”怀揣着最后一丝希望,在妻子的陪同下,VARELII不远万里,来到了北京高博博仁医院接受CAR-T治疗。
骨髓复发合并中枢复发
个性化CAR-T治疗后达到深度缓解
VARELII来到博仁医院后,先接受了全面的检查检验,经过检测发现不仅有骨髓复发,脑脊液中也有肿瘤细胞,实际是骨髓复发合并中枢复发的状态,病情十分危重。而且,在这次检查中还发现了BCR-ABL1的基因,这是在患者发病时未发现的,博仁医院通过精准基因检测,整合诊断,为患者的个性化治疗方案奠定了坚实的基础。

“患者来的时候非常虚弱,贫血、血小板低、肿瘤负荷高,再加上已经经历过两次移植,不论是身体还是心理,都承受着巨大的压力。”赵德峰主任团队首先跟患者进行了全方位的沟通,表示通过CAR-T细胞治疗的方式,疾病是有希望达到缓解的。先给予患者治疗的信心,再根据患者的状态制定个性化治疗方案。
赵德峰主任团队选择第一靶点采用供者来源的细胞,制备CD19 CAR-T细胞进行治疗,整体回输过程较为顺利,虽然还是出现了细胞因子释放综合征(CRS),有发热、皮疹的症状,但配合药物治疗,很快就有效地控制住了副反应。
“在俄罗斯二次复发后,我的心情是十分沉重的,通过这段时间的治疗以及和赵主任团队的沟通,我的信心慢慢恢复了,实际治疗效果也很好,感谢所有帮助过我的人,让一个原本已经失去希望的人,有了重新活下去的希望。”VARELII表示。
出院前,VARELII的骨穿结果显示他的骨髓已经达到了深度缓解,基因为0,腰穿结果显示脑脊液中的肿瘤细胞也已消散,白细胞、红细胞、血小板都基本恢复正常,疾病达到了一个非常好的完全缓解状态。

为了表示感谢,VARELII和妻子在出院前专门定制了锦旗,亲手送给了赵德峰主任团队,“整个治疗过程都让我非常感动,感谢博仁医院,感谢赵主任团队,让我能够重新开始工作和生活,希望下一次能带着家人来中国旅游,而不再是治病!”VARELII对未来的生活充满了期待。
专家点评
赵德峰主任:VARELII是Ph阳性B急淋患者,此前在俄罗斯两次移植后复发,属于复发难治病例。面对VARELII这样抱着最后希望不远万里来到中国求医的复发难治患者,我们团队首先做的是帮助患者建立信心,与患者及家人有一个全面的、充分的沟通,详细解释治疗方案,告诉患者他的疾病是有希望达到缓解的。
其次才是尽心尽力的治疗,通过精准诊断和个性化治疗方案,帮助患者获得更长的生存期。随着治疗过程中各项指标的好转,患者实实在在地感受到了我们团队的治疗疗效,患者的信心和彼此的信任都不断增加,使得整个治疗过程形成了良性循环。
针对VARELII的治疗,我们未来准备继续序贯第二个靶点的CAR-T,以及有针对性的连用靶向药,如果患者持续缓解时间能达到2-3年以上,还是有很大几率可以治愈的。非常开心VARELII达到完全缓解状态顺利出院,我们也会持续探索与进步,坚持“整合诊断”和“个性化治疗”的理念,不断提高复发难治血液肿瘤患者的治疗疗效,希望利用我们博仁医院先进的CAR-T细胞治疗技术,惠及更多的国内外患者。







